¿Qué ocurre en esta etapa? (12–18 años)

Adolescencia y transición a la etapa adulta

 

La adolescencia es una etapa de grandes cambios, también para la salud bucodental. Las variaciones hormonales propias de esta edad pueden aumentar la respuesta inflamatoria de las encías frente a la placa bacteriana, haciendo más frecuente la gingivitis adolescente. La aparición de enrojecimiento, sangrado o molestias al cepillarse es una señal de que la higiene oral necesita mejorar.

En esta etapa, el adolescente suele asumir la responsabilidad del cepillado, aunque la constancia puede verse afectada por horarios cambiantes, menor supervisión o falta de motivación. Más que una vigilancia directa, lo recomendable es mantener un acompañamiento educativo, reforzando el valor del autocuidado y la importancia de mantener hábitos regulares de higiene oral.

Una sonrisa limpia y sana influye directamente en la autoestima y la imagen personal, por lo que resulta útil relacionar la higiene bucodental con el bienestar, la seguridad personal y la prevención de problemas a largo plazo.

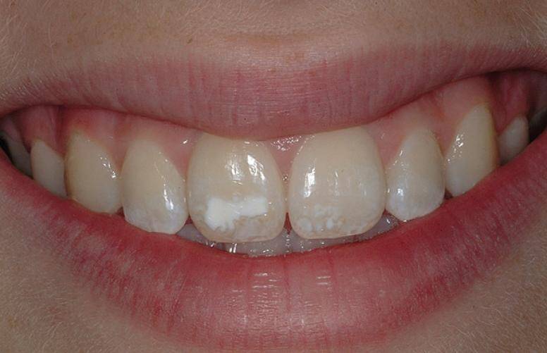
En algunos adolescentes pueden aparecer manchas o alteraciones del esmalte (como la hipomineralización o la fluorosis leve), que no siempre están relacionadas con una mala higiene. Aun así, requieren valoración profesional para establecer el manejo y las recomendaciones más adecuadas en cada caso.

Alteraciones del esmalte en adolescentes.

Las manchas pueden aparecer como zonas blanquecinas o amarillentas y no siempre indican caries ni están relacionadas con una mala higiene. Ante cualquier duda, es importante consultar con el profesional.

 

El cepillado debe realizarse al menos dos veces al día, con una pasta fluorada de 1450 ppm, prestando especial atención al margen gingival y a los espacios interdentales.
La higiene interdental (con cepillos interdentales o hilo dental) es fundamental para eliminar la placa en las zonas donde el cepillo no llega, ayudando a prevenir caries y gingivitis.

En adolescentes, especialmente cuando existe ortodoncia, dificultades para mantener una higiene constante o riesgo elevado de caries, el uso puntual de reveladores de placa puede ser útil para identificar zonas donde se acumula placa bacteriana y mejorar la eficacia del cepillado

 

En adolescentes con ortodoncia, la higiene debe ser especialmente minuciosa, combinando cepillado, higiene interdental con cepillos interdentales o superfloss y, cuando esté indicado, el uso de irrigadores como complemento.

El irrigador no sustituye la higiene interdental, sino que actúa como una ayuda adicional para eliminar restos en zonas de difícil acceso Para más información visita el apartado de Ortodoncia.

 

Además de la higiene, influyen notablemente los hábitos de alimentación y estilo de vida. Las bebidas energéticas, refrescos azucarados y snacks frecuentes favorecen la desmineralización del esmalte. El consumo habitual de bebidas ácidas puede provocar erosión dental, un desgaste progresivo del esmalte que aumenta la sensibilidad y el riesgo de caries, incluso en dientes aparentemente bien cepillados. También el tabaco y el vapeo, cada vez más habituales en edades tempranas, aumentan el riesgo de enfermedad periodontal, halitosis y manchas en los dientes. El uso de piercings orales puede provocar retracción de encías, fracturas dentales o infecciones.

 

El estrés y la tensión emocional propios de esta etapa pueden favorecer el bruxismo (rechinar o apretar los dientes), provocando desgaste dental, dolor mandibular o cefaleas. Ante la aparición de estos signos, es importante consultar con el profesional.

 

En esta edad, el cepillo manual sigue siendo perfectamente válido si la técnica es correcta. El eléctrico puede utilizarse si el profesional lo considera conveniente, pero la eficacia depende sobre todo de la constancia y la atención al cepillado. El uso de colutorios fluorados o antiplaca puede estar indicado en adolescentes con ortodoncia o mayor riesgo de caries, siempre bajo recomendación profesional. En caso de no poder cepillarse tras comer, chicles sin azúcar o con xilitol pueden ayudar a mantener el pH y estimular la saliva.

 

Las revisiones dentales deben realizarse con una frecuencia máxima de 6 meses, aunque en tratamientos de ortodoncia o en pacientes con riesgo elevado pueden ser más frecuentes. En consulta, el profesional valorará la necesidad de aplicar flúor tópico o reforzar la técnica de cepillado. Esta etapa es clave para consolidar hábitos de higiene que acompañarán al adolescente durante toda su vida adulta.


Fuentes oficiales y lecturas recomendadas:

  • Preguntas frecuentes sobre salud bucodental en niños mayores de 10 años – Sociedad Española de Odontopediatría (SEOP)
    Sección dirigida a familias de adolescentes y preadolescentes con respuestas claras sobre cómo evitar caries en esta etapa (incluyendo higiene con flúor, uso de hilo dental y elección de productos), el papel de las aplicaciones de flúor profesional, signos de gingivitis por cambios hormonales, uso de enjuagues, aspectos de ortodoncia (momento de colocación de brackets), técnicas de higiene con aparatos, y consideraciones sobre hábitos alimentarios y riesgos bucales propios de esta edad. 
    (Acceder a la guía)
  • Recomendaciones de higiene oral para adolescentes – European Federation of Periodontology (EFPS)
    Resumen de mensajes clave dirigidos a adolescentes: evitar azúcares, cuidar la higiene bucodental diaria (cepillado e interdental), proteger los dientes durante tratamientos ortodóncicos, reducir el consumo de tabaco y bebidas ácidas, y programar revisiones dentales regulares para prevenir gingivitis y caries en la adolescencia.
    (Acceder al recurso)
  • Salud Oral y Adolescentes – Campaña del Consejo General de Dentistas de España y Fundación Dental Española
    Portal y material informativo dirigido a adolescentes y familias con consejos sobre higiene oral (cepillado con pasta fluorada, higiene interdental), detección temprana de enfermedades gingivales, manejo de factores de riesgo como piercings orales, tabaquismo o estilo de vida, y la importancia de acudir al dentista ante signos de inflamación o sangrado gingival.
    (Acceder al portal)