Higiene de 2 a 6 años

 

A esta edad se consolidan los hábitos de higiene oral y se establecen las rutinas que acompañarán al niño durante toda su vida. Los padres deben seguir supervisando y ayudando en el cepillado, ya que la coordinación manual del niño aún no es suficiente para realizarlo de forma eficaz.

 

Cepillado y pasta dentífrica

El cepillado debe realizarse al menos dos veces al día, especialmente antes de dormir.
Se recomienda un cepillo infantil de cabezal pequeño y filamentos suaves, con una cantidad de pasta fluorada equivalente a un grano de arroz hasta los 3 años y del tamaño de un guisante a partir de esa edad.

El niño puede realizar el cepillado por sí mismo para ir adquiriendo destreza, pero un adulto debe supervisar y repasar al final, asegurándose de que todas las superficies dentales queden bien limpias con movimientos suaves y circulares. Esta supervisión activa debe mantenerse al menos hasta los 8 años, cuando el niño comienza a adquirir la destreza manual necesaria para una higiene más autónoma.

En algunos niños, especialmente cuando existen dificultades para eliminar la placa o aparecen caries de forma repetida, puede ser útil el uso de reveladores de placa como herramienta visual para identificar las zonas donde el cepillado no está siendo eficaz y mejorar la técnica de higiene oral.

Uso de pasta dentífrica fluorada: cantidad y concentración según la edad

🟡 De 2 a 3 años

  • Pasta de dientes con 1000 ppm de flúor.

  • Cantidad equivalente a una manchita o grano de arroz.

  • Si el niño no sabe escupir, no pasa nada: esa cantidad tan pequeña es segura.

  • No es necesario enjuagar con agua tras el cepillado.

🟢 De 3 a 6 años

  • Pasta con 1000–1450 ppm de flúor.

  • Cantidad del tamaño de un grano de guisante pequeño.

  • Tras el cepillado, se recomienda escupir el exceso de pasta sin enjuagar con agua, para que el flúor continúe actuando sobre los dientes.

  • Esta recomendación es válida siempre que se utilice la cantidad adecuada de pasta y haya supervisión adulta.

📌 El uso de flúor en estas cantidades está respaldado por la SEOP, SEPA, Consejo General de Dentistas y el Ministerio de Sanidad como una de las medidas más eficaces para prevenir la caries infantil. Ver fuente oficial

Cepillo manual vs. eléctrico (y cepillos sónicos / app motivacional)

 

🔹 Manual

  • Totalmente adecuado si se realiza correctamente bajo supervisión de un adulto.

  • Recomendado cepillo pequeño, filamentos suaves de nylon, cambiando cada 3 meses o antes si se deforman.

  • Permite que el niño aprenda la técnica de cepillado y desarrolle la destreza manual, importante para el futuro uso del hilo dental o el cepillo interdental.

 

 

Técnica Cepillado Manual

(video didáctico para niños)

🔹 Eléctrico

  • Puede ser útil en ciertos casos donde la motricidad del niño aún no permite un cepillado manual eficaz.

  • Se recomienda específico para niños, con cabezal pequeño y movimientos suaves, siempre bajo supervisión adulta.

 

⚠️ Consideración importante:

  • Comenzar demasiado pronto con un eléctrico puede reducir el aprendizaje de la motricidad fina, dificultando más adelante la correcta higiene con hilo o cepillos interdentales.

  • Por ello, el cepillo manual sigue siendo totalmente válido, siempre que el adulto enseñe y supervise el cepillado.

 

 

Video Explicativo Técnica Cepillado Eléctrico

🔹 Cepillo sónico infantil
El cepillo sónico es una buena opción cuando, a pesar de la supervisión, el cepillado manual no resulta eficaz o el niño muestra poco interés. Su movimiento vibratorio facilita la eliminación de placa, pero sigue permitiendo cierta participación activa del niño, lo que favorece el aprendizaje de la técnica.

¿Cuándo puede ser útil?
Se recomienda en niños que:

  • No logran realizar movimientos manuales eficaces o coordinados.

  • Presentan aparato ortodóncico o anatomías dentarias más complejas.

  • Tienen tendencia a acumular placa a pesar de una buena supervisión.

  • Rechazan el cepillado manual porque les resulta cansado o poco motivador.

 

Aplicación motivacional interactiva
Una herramienta especialmente útil es la aplicación interactiva y didáctica de Philips Sonicare, que puede utilizarse de dos maneras:

  • Sincronizada con el cepillo Philips Sonicare, mostrando en tiempo real cómo cepillarse y haciendo seguimiento del hábito.

  • Independiente, como guía visual con cualquier otro cepillo, manual o eléctrico.

Esta app puede ser una herramienta motivadora para niños a los que todavía les cuesta mantener la rutina de cepillado.

👉 Importante aclarar a las familias:

  • No se trata de fomentar el uso de pantallas, sino de aprovechar un recurso educativo de forma puntual y con supervisión.

  • Se recomienda utilizarla solo durante el momento del cepillado y retirarla progresivamente una vez adquirido el hábito para evitar dependencia.

Consideraciones y supervisión

  • Al principio, algunos niños pueden sentir cosquilleo o molestias por la vibración. Es normal y suele desaparecer con el uso.

  • Siempre debe usarse con una cantidad adecuada de pasta dental fluorada.

  • Aunque sea sónico, es importante acompañar el cepillado, guiar el movimiento y revisar las zonas difíciles.

Higiene interdental en dentición temporal

Cuando existe contacto entre dientes, es necesario incorporar higiene interdental. La opción ideal es el uso de un cepillo interdental muy

En la dentición temporal, muchos dientes de leche presentan espacios entre ellos, lo que facilita la limpieza con el cepillo y reduce el riesgo de acumulación de placa entre dientes.

Sin embargo, a partir de los 3 años, con la erupción completa de los segundos molares temporales, es frecuente que estos dientes queden en contacto estrecho con el molar adyacente. En estas situaciones, el cepillado por sí solo ya no es suficiente.

Cuando existe contacto entre dientes, es necesario incorporar higiene interdental. La opción ideal es el uso de un cepillo interdental muy fino, adaptado a espacios pequeños y siempre bajo supervisión de un adulto.

En estos casos, es importante utilizar cepillos con un calibre realmente reducido. Algunos modelos, como el Curaprox CPS Prime 06, están diseñados específicamente para acceder a espacios muy estrechos sin forzarlos, lo que permite una limpieza eficaz donde otros cepillos no llegan.

Si el cepillo interdental no entra o existe retención puntual de alimentos (especialmente alimentos fibrosos en el punto de contacto), pueden utilizarse arcos dentales infantiles (flossers) como recurso puntual, no como método principal.

La necesidad de higiene interdental en estas edades no depende de la edad en sí, sino de la presencia o no de contacto entre los dientes. Cuando los dientes están en contacto, la higiene interdental forma parte del cuidado diario, aunque se trate de dientes de leche.

Vídeo uso del cepillo interdental

Vídeo uso del arco dental/flosser 

Elección del tipo de cepillo

Más que basarse únicamente en la preferencia del niño o la familia, la elección debe depender de las necesidades específicas del niño y de lo que mejor se adapte a su situación. Lo realmente determinante para la eficacia no es si el cepillo es manual o eléctrico, sino:
✔ que se utilice una técnica adecuada,
✔ que haya supervisión adulta hasta que el niño tenga autonomía,
✔ y que el cepillo se use el tiempo correcto.


Alimentación y prevención de caries

Los azúcares libres (zumos, batidos, galletas, bollería, golosinas…) son los principales responsables de la caries infantil. Por ello, es preferible limitar su consumo y, cuando se tomen, hacerlo junto con las comidas principales, evitando el picoteo frecuente entre horas, que favorece las bajadas repetidas del pH en la boca.

Cada vez que se ingieren azúcares, las bacterias de la placa producen ácidos que hacen descender el pH de la boca. En condiciones normales, es la saliva la encargada de neutralizar esos ácidos y devolver el pH a valores seguros, un proceso que suele tardar entre 20 y 30 minutos. Cuando estas bajadas de pH se repiten muchas veces al día, la saliva no siempre es capaz de compensarlas, aumentando el riesgo de desmineralización del esmalte.

Tras las comidas, se recomienda realizar el cepillado con pasta fluorada adaptada a la edad, ya que el flúor ayuda a remineralizar el esmalte y a protegerlo frente a los ácidos producidos tras la ingesta de azúcares.

Aunque en algunos contextos se aconseja esperar unos minutos antes de cepillarse después de comer, en los niños esta recomendación suele hacer que el cepillado se retrase o se olvide. Por ello, en la práctica diaria es preferible realizar el cepillado de forma inmediata, siempre con una pasta fluorada adecuada.

El objetivo no es acumular muchos cepillados, sino asegurar cepillados eficaces y constantes, siendo el cepillado nocturno imprescindible, ya que durante la noche disminuye el flujo salival y los dientes quedan más expuestos a la acción de la placa bacteriana.

Caries de la primera infancia (CPI)

La caries de la primera infancia (CPI) es una forma especialmente agresiva de caries que afecta a los dientes temporales desde edades muy tempranas, con un pico de incidencia entre los 13 y los 24 meses, aunque sus consecuencias pueden observarse también en edades posteriores.

El primer signo suele ser la aparición de manchas blancas en los incisivos superiores, cerca del margen de la encía, con forma semicircular. Estas lesiones indican un desequilibrio inicial del esmalte y pueden pasar desapercibidas si no se revisan de forma periódica.

Una medida sencilla de detección precoz es la técnica LEL (Levantar el Labio): levantar el labio superior del niño al menos una vez al mes para observar posibles cambios en el color del esmalte. Ante la presencia de manchas blancas o pigmentaciones, se recomienda acudir al odontopediatra lo antes posible.

Detectada a tiempo, la caries puede detenerse e incluso revertirse en sus fases iniciales. Si progresa hacia dentina o pulpa, será necesario un tratamiento para evitar dolor, infecciones y complicaciones en el desarrollo oral.

👉 Para comprender mejor cómo se forma la caries y cómo prevenirla, puedes consultar el apartado Caries dental.

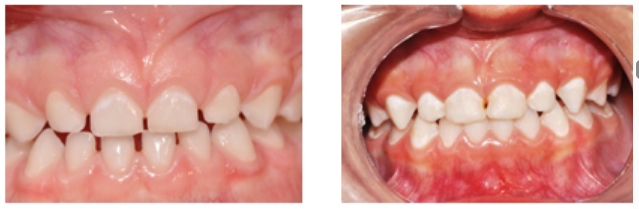
Manchas blancas en dientes temporales (lesiones iniciales de caries).
Detectarlas a tiempo permite frenar la enfermedad y evitar tratamientos más complejos.

Hábitos orales

Debe evitarse el uso prolongado del chupete y el hábito de chuparse el dedo, ya que pueden alterar el desarrollo de la mordida y la posición de los dientes.
El biberón debe retirarse progresivamente antes de los 2 años, y nunca debe contener líquidos azucarados ni zumos.


Visita al dentista

A partir de la erupción del primer diente, se recomienda acudir de forma periódica al odontopediatra para revisar el crecimiento, la erupción dental y reforzar los hábitos de higiene oral.

Estas revisiones permiten detectar de forma precoz caries, alteraciones en la erupción o hábitos perjudiciales, y mantener una buena salud bucodental desde la infancia.

Fuentes oficiales

  • Sociedad Española de Odontopediatría (SEOP)

      Guía del cuidado dental en bebés y niños pequeños

      (Consultar guía)

  • Sociedad Española de Odontopediatría (SEOP)

      Prevención de la caries de la primera infancia

      (Ver documento Pdf)

  • Consejo General de Dentistas de España – Portal Salud Oral Infantil

       Información general sobre salud bucodental infantil, principales problemas, riesgos y consejos de cuidado en la infancia.

     (Acceder al portal)

Crea tu propia página web con Webador